.
News

News

Journal of Prosthodontics News   January 19, 2021

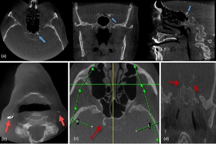
Incidental Findings in Cone Beam Computed Tomography for Dental Implants in 1,002 Patients

JOP_1-20-21

Now online in the Journal of Prosthodontics, a retrospective study analyzing the frequency of non-dental pathology in CBCT scans taken for implant placement treatment planning and post-placement evaluation.

One thousand and two CBCT scans were reviewed. A board certified oral and maxillofacial radiologist systemically read all scans. Pathologies ranged from innocuous sinusitis, to more serious atherosclerotic calcification of the carotid arteries, narrowed airways, and neoplastic lesions.

Of the 1,002 patients, 921 (91.9%) had at least one finding, underscoring the importance of proper reading and diagnosis. Fifty-one different findings were noted, of which 36 were pathologies that required referral or follow-up.

Knowledge of anatomy is critical and clinicians should be familiar with the radiographic diagnosis of head and neck pathology, and/or must refer these images to an appropriate specialist for radiographic interpretation.

Kachlan MO, Yang J, Balshi TJ, Wolfinger GJ, and Balshi SF. Incidental Findings in Cone Beam Computed Tomography for Dental Implants in 1,002 Patients. J of Prosthodont 2021. Accepted Author Manuscript. https://doi.org/10.1111/jopr.13329

 

Previous Next

 

Back to News