.
News

News

Journal of Prosthodontics News  

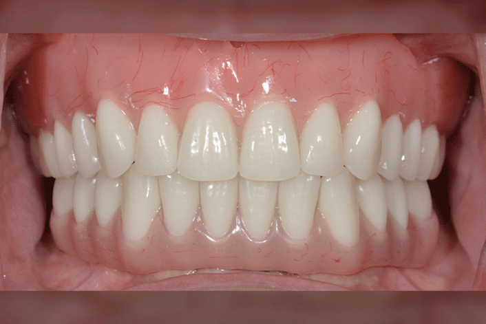
Full Arch Immediate Occlusal Loading Using Site Specific Implants: A Clinical Series of 10 Patients

JOP_11-23-22

Now online in the Journal of Prosthodontics, a new clinical report co-authored by ACP members Gary A. Morris, DDS and Carl Drago, DDS, MS, FACP.

Full arch immediate occlusal loading protocols have been shown to be effective as unloaded healing protocols. This paper reports on the results, benefits, and limitations of a specific immediate loading protocol using site specific implants for fresh extraction and healed extraction sites.

Ten patients (13 arches) were diagnosed with either non-restorable dentitions or were already edentulous and were treated in private practice settings between Nov 2017 and Aug 2021. Hopeless teeth were scheduled for extraction with immediate implant placement and immediate loading with insertion of full arch, screw-retained, acrylic resin interim prostheses within 24 hours. Implants were also placed into healed edentulous ridges. The total number of implants placed was 64 and after 12–18 months of function (average 14 months), the implant and prosthetic survival rates were 100%.

This clinical series used a combination of site specific implant designs (inverted body, ultrawide diameter) in immediate implant placement post extraction. Tapered implants were used when the above designs were not applicable.

Follow-up of patients in this series was maximized at 18 months and longer term follow-up appointments and more precise radiographic and clinical measurements are indicated to improve the validity of these findings. Long-term follow-up will be discussed in future publications.

Morris GA, Steinberg MJ, Drago C. Full arch immediate occlusal loading using site specific implants: a clinical series of 10 patients (13 arches). J Prosthodont. 2022; 00– 00. https://doi.org/10.1111/jopr.13620

 

Previous Next

 

Back to News