.
News

News

Journal of Prosthodontics News  

Erbium Laser-Assisted Ceramic Debonding: a Scoping Review

JOP_11-16-22

Now online in the Journal of Prosthodontics, a new open access review article co-authored by ACP member Sompop Bencharit DDS, MS, PhD, FACP.

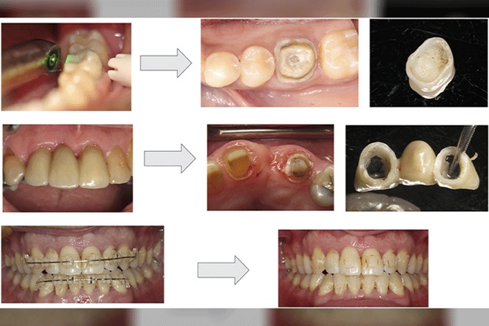
All-ceramic restorations and orthodontic brackets have become popular because of their esthetic advantages, biocompatibility, and predictable durability, however conventional removal procedures can be time consuming, invasive, and inconvenient. The use of erbium lasers has been explored as an alternative method for debonding of ceramic appliances from natural teeth and implants.

This scoping review aims to provide an overview of current literature on the effectiveness of erbium lasers for removal of ceramic restorations and appliances from natural teeth and dental implants.

A systematic search of seven databases, including Medline (Ovid), Embase, Dentistry and Oral Sciences Source (DOSS), Web of Science, Cochrane Library, and ProQuest Dissertations and Theses, was conducted in July 2020 and updated in June 2021. Studies were assessed and categorized based on the type of restoration/appliance, type of abutment, type of laser, laser settings, efficacy of debonding, and pulpal temperature rise. Fifty-three full-text articles were reviewed for inclusion, and 38 were retained for this review.

Overall, the results demonstrate that time for ceramic debonding varies depending on the type of restorations and materials. Laser setting and laser type affect the debonding time and debonded ceramics demonstrated no known structural damages resulting from laser applications.

Erbium lasers present a noninvasive protocol for retrieval of ceramic restorations/appliances from teeth and implant abutments. Further well-designed controlled clinical trials and longitudinal prospective studies are needed to determine the safest and most effective laser parameters.

Deeb JG, Grzech-Leśniak K, Brody ER, Matys J, Bencharit S. Erbium laser-assisted ceramic debonding: a scoping review. J Prosthodont. 2022; 1– 25. https://doi.org/10.1111/jopr.13613

 

Previous Next

 

Back to News