.
News

News

Journal of Prosthodontics News   August 31, 2021

Endocrowns Clinical Performance and Patient Satisfaction

JOP_9-1

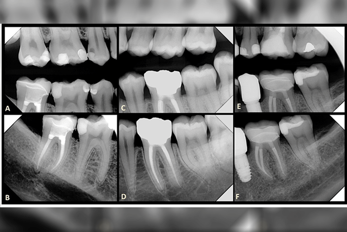
Now online in the Journal of Prosthodontics, a report of a randomized, double-blind, clinical trial that assessed the survival of endocrowns made from three different monolithic ceramic materials, and evaluated patient satisfaction.

Fifty-three patients (60 root canal treated molar teeth) were enrolled. Teeth were prepared to a flat butt-joint margin and randomly divided between three material groups: lithium disilicate-reinforced glass-ceramic, monolithic zirconia and polymer infiltrated hybrid ceramic. Clinical assessment using modified USPHS criteria was carried out after two years.

The overall Kaplan-Meier survival estimate among all groups was 90.9% with no statistically significant difference between the groups. Patient satisfaction ranged from 82.3% in the zirconia group to 100% in both the lithium disilicate and hybrid ceramic groups. Lithium disilicate-reinforced ceramic had fewer complications and required less intervention compared with zirconia and hybrid ceramics.

Endocrowns provide a predictable option for the restoration of endodontically treated molar teeth in the short term, however, long-term follow-up is required to substantiate these results.

El-Ma'aita A, Al-Rabab'ah MA, Abu-Awwad, M, et al. Endocrowns clinical performance and patient satisfaction: a randomised clinical trial of three monolithic ceramic restorations. J Prosthodont 2021; https://doi.org/10.1111/jopr.13414

 

Previous Next

 

Back to News