.
News

News

Journal of Prosthodontics News  

Worn Denture Teeth of a Full-Arch Implant-Supported Fixed Dental Prosthesis

JOP_8-23-23

Now online in the Journal of Prosthodontics, a new technique report co-authored by ACP members Adam M. Goodrick, DDS and Sassan Nadjmi, DMD, FACP.

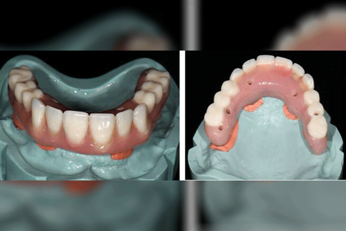
Worn denture teeth are a significant complication with implant-supported prostheses. This report discusses a case that used an intraoral scanning system to restore an existing maxillary implant-supported prosthesis with significant posterior occlusal wear.

As described in this report, a 74-year-old man presented to the prosthodontic clinic with a mandibular reconstruction of his existing dentition with metal-ceramic crowns and a maxillary fixed implant-supported prosthesis. Intraoral examination showed significant occlusal wear of denture teeth bilaterally in the posterior segments.

The patient chose to restore the posterior teeth, as opposed to fabricating a new prosthesis to avoid an increased number of appointments and accommodate his travel schedule. IPS e.max restorations were fabricated and cemented to the prepared posterior denture teeth to re-establish the occlusal vertical dimension and to help prevent further wear of the occlusal surfaces. IPS e.max was chosen for this case as it provided good wear resistance from his opposing dental arch and good compressive strength.

One of the important unknowns in this procedure is the long-term success of cementing the IPS e.max restorations to the acrylic denture base. One of the benefits of this technique is the ability to save the digital file of the restorations, which allows the dentist to mill the restorations if fracture or debonding does occur. Long-term success of the adhesive potential of this technique will continue to be evaluated through regular follow-up examinations.

Goodrick, AM, Nadjmi, S. Worn denture teeth of a full-arch implant-supported fixed dental prosthesis: A technique to restore. J Prosthodont. 2023; 1–5. https://doi.org/10.1111/jopr.13740

 

Previous Next

 

Back to News