.
News

News

Journal of Prosthodontics News  

Spontaneous Closure of Partial Maxillectomy Defects Using an Acrylic Removable Partial Dental Prosthesis

JOP_3-11-26

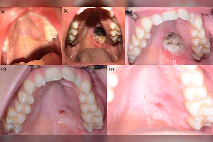
Now online in the Journal of Prosthodontics, a report of a simple and cost-effective acrylic protective removable dental prosthesis design that can lead to spontaneous closure of partial maxillectomy defects without surgery, co-authored by ACP Fellow, Dr. Caroline T. Nguyen.

Maxillectomy can result in severe anatomical changes secondary to tumor resection and reconstruction, including decreased soft tissue envelope and skeletal support. Resections commonly involve the alveolar and palatal processes of the maxilla, along with the palatal mucoperiosteum, frequently leading to oroantral or oronasal fistulas. Persistent fistulas result in multiple challenges for patients, including impaired mastication and swallowing, speech difficulties, oral discomfort, and nasal regurgitation.

This case series describes five clinical cases where protective removable dental prostheses were successfully used to permanently close oronasal fistulas resulting from palatal resections. These prostheses did not engage the defect but acted as protective barriers that aided in the closure of the fistula through secondary intention. Secondary intention is a method of healing for open wounds where the edges are not brought together, and the wound heals by granulation from the base up, followed by contraction and re-epithelialization.

This case series was limited to patients who were at low risk of recurrence and willing to attempt closure of their fistula using a prosthesis instead of surgery. All five cases had very different initial diagnoses, surgeries, sizes of defects, and locations of fistulas. Further studies would be needed to determine the appropriate patient selection criteria for this conservative technique.

Nguyen CT, & Prisman E. Spontaneous closure of partial maxillectomy defects using an acrylic removable partial dental prosthesis: A case series. J Prosthodont. 2026; 1–7. https://doi.org/10.1111/jopr.70113

 

Previous Next

 

Back to News