Journal of Prosthodontics News
Semi-Adjustable Digital Articulator Programming Using Eccentric Interocclusal Scans
Now online in the Journal of Prosthodontics, a new technique report co-authored by ACP fellows, Hongseok An, DDS, MSD, FACP and Despoina Bompolaki, DDS, MS, FACP.
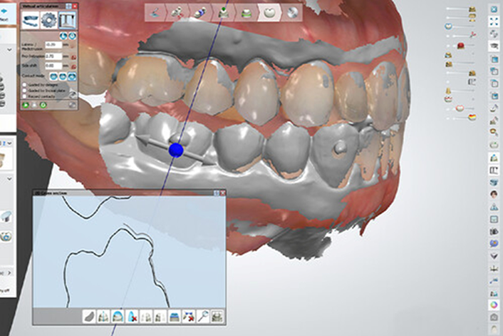
The design process for extensive dental prostheses often involves additional design parameters to be considered, which may necessitate the use of supplemental design tools that can assist operators with generating predictable design outcomes. Among the various tools that have been developed to enhance the predictability of CAD processes, the role of a digital articulator has become significant as it enhances operators’ ability to generate a functionally sound prosthetic design.
This report describes a semi-adjustable digital articulator programming technique using digital eccentric interocclusal records. Temporary markers are placed on mandibular canines and first molars before scanning. Sagittal condylar inclinations and Bennett angles are determined using the scans made in the protrusive and laterotrusive positions. Other than an intraoral scanner, no additional devices are required for this technique.
The technique was designed with the intention to create the digital version of the conventional semi-adjustable articulator programming using eccentric interocclusal records. This technique can be easily applied to most clinical scenarios when the accuracy of eccentric mandibular movements needs to be improved.
An H, Bompolaki D. Semi-adjustable digital articulator programming using eccentric interocclusal scans. J Prosthodont. 2025; 1–4. https://doi.org/10.1111/jopr.14077
Previous
Next
Back to News