.
News

News

Journal of Prosthodontics News   October 7, 2019

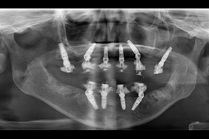
Relationship Between Radiographic Misfit and Clinical Outcomes

jop_10-9

Now online in the Journal of Prosthodontics, Drs. Robert W. Slauch, Avinash S. Bidra, Glenn J. Wolfinger, and Chia-Ling Kuo examine if an uncorrected radiographically detected immediate postoperative misfit in immediately loaded conversion prosthesis plays a significant role in early implant or prosthesis failure. In addition, clinical characteristics were analyzed relative to their relationship to early implant or prosthesis failure.

The results showed that misfit in immediately loaded complete‐arch fixed implant‐supported prostheses may not play a detrimental role in the implant survival but may affect survival of the conversion prostheses.

Slauch R, Bidra A, Wolfinger G, et al: Relationship between Radiographic Misfit and Clinical Outcomes in Immediately Loaded Complete-Arch Fixed Implant-Supported Prostheses in Edentulous Patients. J Prosthodont doi 10.1111/jopr.13105

 

Previous Next

 

Back to News