.
News

News

Journal of Prosthodontics News   November 10, 2020

Rehabilitation Of Occlusal Vertical Dimension In A Patient With Acromegaly: A Clinical Report

JOP_11-11

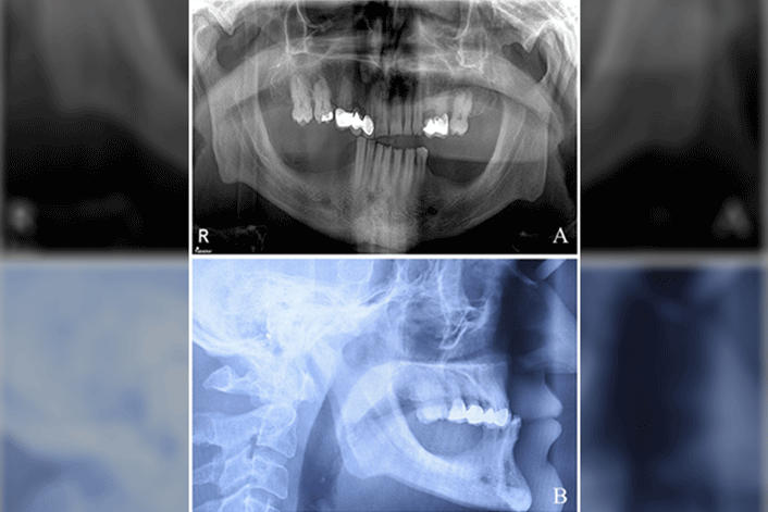
Now online in the Journal of Prosthodontics, Drs. Mehmet Berk Kaffaf, Pınar Şeşen, and Olcay Şakar present a clinical report on the treatment of a patient with acromegaly and a decreased occlusal vertical dimension. Acromegaly is a rare acquired disorder caused by excessive growth hormone production and prosthetic treatment of these patients is challenging.

In this case report, a partially edentulous patient with acromegaly and a decreased OVD was rehabilitated with a maxillary metal-ceramic partial fixed prosthesis and mandibular precision attachment RPD. The OVD was reestablished by increasing it approximately 10 mm. Four years after treatment, the patient was functioning well, and neither occlusal disharmony nor temporomandibular disorder was observed.

The authors conclude that partially or completely edentulous patients with acromegaly and a decreased OVD can be rehabilitated by increasing the OVD without orthognathic surgery and/or orthodontic treatment.

Kaffaf MB, Şeşen P, Şakar O. Rehabilitation of occlusal vertical dimension in a patient with acromegaly: a clinical report. J Prosthodont 2020. Accepted Author Manuscript. https://doi.org/10.1111/jopr.13280 

 

Previous Next

 

Back to News