.
News

News

Journal of Prosthodontics News   May 17, 2019

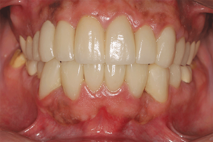
Management of Amelogenesis Imperfecta in Adolescents

amelogenesis

Now online in the Journal of Prosthodontics, Drs. Liliana Ortiz, Ann Marie Pereira, Leila Jahangiri, and Mijin Choi present a clinical report of a 16-year-old male patient with amelogenesis imperfecta (AI).

Adolescent patients require prosthodontic treatment design that can be adapted to the changes in arch shapes, sizes, interarch relationship, and esthetic needs, and this report discusses treatment recommendations, timing of various treatment modalities, and involvement of appropriate interdisciplinary teams for managing adolescent patients.

Citation: Ortiz L, Pereira AM, Jahangiri L, et al: Management of amelogenesis imperfecta in adolescent patients: Clinical report. J Prosthodont Accepted Author Manuscript. doi:10.1111/jopr.13069

 

Previous Next

 

Back to News