.
News

News

Journal of Prosthodontics News  

9-Year Follow-Up on Maxillofacial Implant-Supported Framework

JOP_6-29-22

Now online in the Journal of Prosthodontics, a unique clinical report co-authored by ACP members, Thomas J. Balshi DDS, PhD, Glenn J. Wolfinger DMD, FACP, William Reiger DMD, MS, and Mamdouh O. Kachlan DMD.

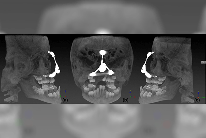
This report details the sequence of treatment and prosthesis fabrication for a child with craniofacial trauma from a wild hyena biting off his nose and anterior maxilla.

Facial prosthodontic rehabilitation of children presents unique challenges. The prosthodontic team must consider the future cranial facial changes as the unaffected parts of the cranium and face mature. Changes in the osseous structures, as well as soft tissue changes, must be considered and long-term treatment plans established. Additionally, children and adolescents are often active in sports and physical activities that require added retentive mechanisms with safety releases built into prostheses.

As described in this clinical case, a 6-year-old male was attacked by a wild hyena in Ethiopia where he sustained severe soft tissue loss to his orofacial region. He sustained avulsion of the nose, upper lip, and part of the maxilla, and a loss of the middle third of the upper lip. A year later he was transferred to the U.S where a team of plastic surgeons placed bilateral tissue expanders in the cheeks and reconstructed his upper lip. He also received a provisional silicon prosthetic nose which was retained with adhesive paste. However, by 8-years old, the adhesive retention of the initial nose proved inadequate and alternative biomechanics needed to be considered.

Two titanium implants were surgically implanted; one was placed in the glabella region and one was placed in the left paranasal region. After osseointegration, a third implant was placed in the right paranasal area to form a tripod form of retention for the future prosthesis.

This report describes the complete treatment plan which required a multidisciplinary team to construct a rigid implant-retained framework capable of both magnetic retention of the removable nasal prosthesis and expansion to accommodate the future cranial facial growth of the patient.

The patient has been followed for 9 years without physiologic complications and only minor prosthodontic complications. The long-term success of this endeavor will require meticulous follow-up care by the prosthodontic team.

Balshi TJ, Wolfinger GJ, Pellecchia R, et al: 9-Year Follow-Up on Maxillofacial Implant-Supported Framework Designed to Accommodate Childhood Growth. J Prosthodont 2022; 1- 11. https://doi.org/10.1111/jopr.13528

 

Previous Next

 

Back to News