.
News

News

Journal of Prosthodontics News   September 8, 2020

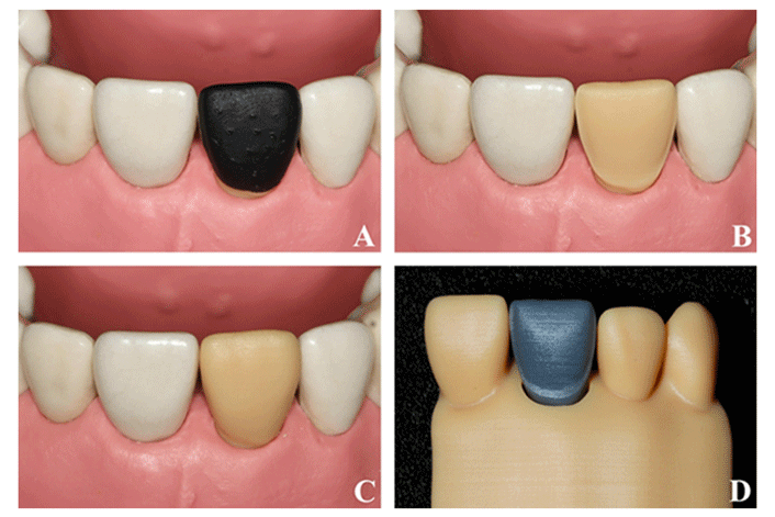
3D Printed Teeth with Included Veneer Preparation Guide

JOP_9-9

Now online in the Journal of Prosthodontics, a report from Christian Höhne, Tanja Rammler, and Marc Schmitter evaluating the design and feasibility of a 3D printed tooth model with internal preparation for dental education in veneer preparation.

For this study, 40 third‐ to fifth‐year dental students were trained with 3D printed teeth in a clinical course and then rated the advantage over a standard model tooth in a questionnaire.

The authors report that production of the 3D teeth was feasible and cost‐effective, and the students rated the learning results with the printed tooth as significantly better than the standard model tooth. This method could be used for other types of tooth preparations, including crowns, inlays or adhesive bridges, and could be especially beneficial to beginner prosthodontic students as part of their dental education.

Höhne C, Rammler T, Schmitter M. 3D Printed Teeth with Included Veneer Preparation Guide. J Prosthodont 2020.

 

Previous Next

 

Back to News